Texto completo
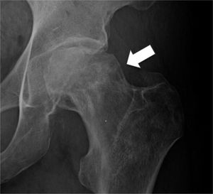
En el artículo: “de Pablo Márquez B, Ortiz Ciruela J. Abordaje del dolor de pelvis y cadera en Atención Primaria. FMC. 2025;32(10):553-60” apareció como figura 4 una imagen errónea. Se adjunta la correcta.
