Puntos para una lectura rápidabstract
- •
La demencia frontotemporal o enfermedad de Pick es una enfermedad neurodegenerativa caracterizada por un cambio progresivo de la personalidad y en el comportamiento.
- •
Es la segunda causa más frecuente de demencia en menores de 65 años.
- •
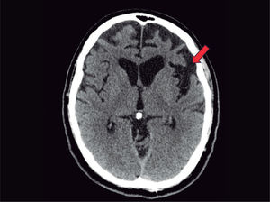
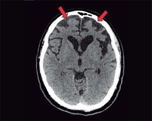
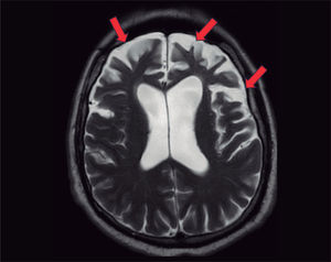
En la resonancia magnética, se visualiza una atrofia de las sustancias gris y blanca frontotemporal.
- •
La variante más común es la variante conductual.
- •
No existe tratamiento curativo, solo sintomático.
Palabras clave
Conducta errante
Trastorno de personalidad
Demencia frontotemporal
Identifíquese
¿Aún no es suscriptor de la revista?
Comprar el acceso al artículo
Comprando el artículo el pdf del mismo podrá ser descargado
Teléfono para incidencias
De lunes a viernes de 9h a 18h (GMT+1) excepto los meses de julio y agosto que será de 9 a 15h
Llamadas desde España
932 415 960
Llamadas desde fuera de España
+34 932 415 960
