Vol. 33. Núm. 1.
Páginas 61 (Enero 2026)

Imagen
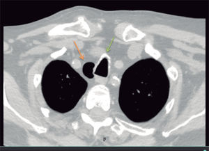
Traqueocele: hallazgo incidental muy infrecuente

Rebeca de la Fuente CañibanoMiriam Blanco RuizBlanca Sancho Sanroma
Doi : https://10.1016/j.fmc.2024.09.010
Opciones

Identifíquese

¿Aún no es suscriptor de la revista?

Comprar el acceso al artículo

Comprando el artículo el pdf del mismo podrá ser descargado

Teléfono para incidencias

De lunes a viernes de 9h a 18h (GMT+1) excepto los meses de julio y agosto que será de 9 a 15h

Llamadas desde España 932 415 960
Llamadas desde fuera de España +34 932 415 960